• Professional healthcare
  • Products & Services
  • Inspiration
  • Support & Contact
  • Shop
‌
‌
‌
‌
‌
‌
‌
‌
‌
‌
‌
‌
‌
‌
‌
‌
‌
‌
‌
‌
  • Consumer productsConsumer products
    • Home
    • Support
    • Product registration
    • My Philips
  • Healthcare professionalsHealthcare professionals
    • Home
    • Products
    • Services
    • Specialties
    • Solutions
  • Other business solutionsOther business solutions
    • Lighting
    • Automotive
    • Dictation Solutions
    • More
    • Hearing solutions
    • Display solutions
  • About usAbout us
    • Home
    • News
    • Investor Relations
    • Careers
    • More
    • Innovation
    • Environmental, Social and Governance
  • Contact and supportContact and support
    • Customer support
    • Professional healthcare support
    • Company contacts
  • Stay up-to-dateStay up-to-date
  • Select your country / languageGlobal / English
  • Privacy Notice
  • Terms of use
  • Cookie notice
© Koninklijke Philips N.V., 2004 - 2025. All rights reserved.
‌
‌
‌
‌
‌
‌
‌
‌
‌
‌
‌
‌
‌
‌
‌
‌
‌
‌
‌
‌
  1. Diagnostic imaging
  2. Magnetic resonance imaging
  3. MRI software
  4. DWI TSE - Spine
DWI TSE - Spine
MR clinical application
MRI software
‌
‌
‌
‌
‌
‌
‌
‌
‌

DWI TSE - Spine

MR clinical application
MRI software
DWI TSE allows diffusion imaging with excellent signal-to-noise ratio and sharpness with reduced geometric distortion¹, especially in challenging anatomies.

All Philips professional healthcare customers can open, track and manage equipment service tickets in our Customer Services Portal at no cost.
For all support resources and contact information, visit our Support hub.

Brochure
Clinical applications brochure(10.98 MB)
See all

Clinical image gallery

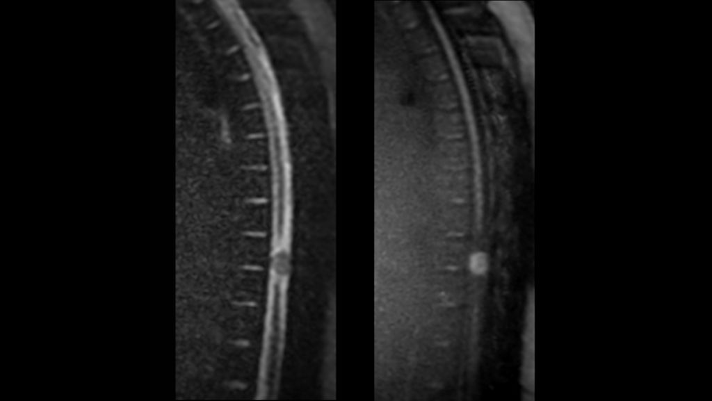
  • DWI TSE (b0 and b400)
    DWI TSE (b0 and b400)
  • DWI TSE (b0 and b400)
    DWI TSE (b0 and b400)
  • DWI TSE (b0 and b400)
    DWI TSE (b0 and b400)
  • T2w mDIXON XD TSE and DWI TSE (b600)
    T2w mDIXON XD TSE and DWI TSE (b600)
  • DWI TSE (b0 and b600)
    DWI TSE (b0 and b600)

Documentation

Clinical applications brochure
PDF|10.98 MB

Recommended products

  • SmartPath MR system upgrade
    SmartPath to dStream
    The smart approach to digital broadband MR- Ingenia owners enjoy enhanced image quality, advanced clinical capabilities, and efficient workflow from dStream broadband digital architecture. A SmartPath to dStream upgrade offers full dStream, without installing a completely new system.
Disclaimer
¹Compared to DWI EPI